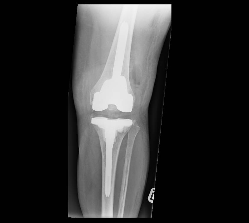
Revision Knee Surgery
Persistent, worsening pain in a knee replacement is often a sign that it is failing. It is important to determine why this is happening. The three most common causes for failure of a knee replacement are that an infection has developed, there is malalignment of the prosthesis or that it has loosened from the bone. It is vitally important to investigate for the cause of failure, this often includes blood tests, X-rays, a bone scan and fluid samples from the joint.
Performing reconstruction surgery to recreate a well-functioning knee replacement is technically demanding and requires expertise from a surgeon who regularly performs these operations. I regularly perform this surgery and use advanced surgical techniques and specialised bone restoration methods.
It can take up to a year to recover after revision total knee replacement surgery. It is important to work with your physio to regain your range of motion, strength, function and stability after surgery

Cause of Failure
Procedures:
Generally, bone cement is used to fix a total knee replacement to the bone, in some cases where an uncemented knee replacement is used the host bone grows onto the implant. If this interface between the bone and the cement or the bone and the implant (in an uncemented knee) fails then the implant will loosen and will result in progressive pain. Usually loosening occurs many years after surgery, if it occurs early on it is often due to a technical problem during the implantation surgery.
Another cause of loosening can be a wearing out of the plastic insert that sits between the metal implants of the femur and tibia. These wear particles that are generated can cause quite extensive bone loss around the implant and this significantly increases the complexity of the surgery.
It is therefore important that your surgeon has a range of options available to him to reconstruct the knee after a failed knee replacement. This may include advanced surgical approaches, use of complex revision implants including custom made implants, use of bone graft or trabecular metal implants to reconstitute lost bone.
When a total knee replacement is performed, the bone cuts have to be performed correctly, the implants have to be inserted in the right manner and the knee must be balanced by the end of the operation. Failure to achieve this will lead to problems in the long-term. If the knee is too tight, it will result in stiffness and difficulty in achieving a full range of motion in the knee. If it is too loose it will cause instability and the knee will give way.
Physiotherapy can sometimes be employed to help in achieving a full range of motion and correct instability or orthotic braces can be helpful. If these measures are not successful then a revision procedure is required to balance the knee and address the cause.
An infection in a joint replacement is a devastating complication for both patient and surgeon. There are a number of tests that will need to be performed prior to surgery. It is vitally important to isolate the causative organism so that targeted antibiotics can be used following the revision surgery. There are a variety of surgical options available to treat the infection and these depend on the results of the various investigations, examination findings, the type of infective organism and chronology of the infection. The rationale and treatment options will be explained to you during the clinic appointment.